
Introduction
健康皮肤的完整性在维持人体的生理稳态方面起着至关重要的作用。创伤是指由外伤因素如手术、外力、热、电流、化学物质、低温等对正常皮肤(组织)造成的损伤以及局部血液供应紊乱等身体内部因素造成的损伤,这种损伤往往伴随着皮肤完整性的破坏和一定量的正常组织的损失。同时,皮肤的正常功能受损,也称为创伤或外伤。伤口愈合是一个重要的生理过程,直到目前,各种原因导致的皮肤创伤及其愈合形成的疤痕对着人类的健康和生活质量影响很大。所以研制能够加速创面愈合、促进创伤局部毛囊、汗腺等附属器官新生,帮助创伤组织在结构和功能上得到双重修复的药物及其相应的制剂或者敷料是目前创伤治疗领域的难点和重点问题,具有非常重大的研究意义。中药是我国的传统药物,其来源广泛,并且在治疗创伤中积累了丰富经验。金丝桃(Hypericum monogynum L.),为藤黄科金丝桃属植物,夏、秋二季开花时采割,阴干或低温烘干,其药用部位主要为植物地上部分。分布于河北、陕西、甘肃、山东、四川、贵州、湖北等地,本品主要产于中国贵州,其花朵密集,花冠大而艳丽,花瓣金黄,花期长,观赏性较强,并具有耐寒、耐旱、耐瘠薄、抗污染等特性,是金丝桃属具有开发前景的野生园林、药用资源植物,在民间已有2400年的药用历史。其化学成分包括黄酮类、甾体类、三萜类、饱和脂肪酸酯类、氧杂蒽酮类、酚类等,具有抗抑郁、降血脂血糖、改善缺氧、镇静、抗菌消炎、创伤收敛等药理特性。有研究报道金丝桃素是在各伤口愈合阶段中比较活跃的化合物,它的抗炎活性可能在植物的伤口愈合作用中起作用。而金丝桃提取物对伤口愈合方面的研究并未深入,贵州医科大学骆衡研究员课题组通过构建兔皮肤缺损模型,结合网络药理学与分子生物学技术,系统探究金丝桃水提物(HAE)的促愈合作用及其潜在机制,为开发新型创伤修复药物提供科学依据。
Results and Discussion
愈合动力学:量化评估修复效率
以兔皮肤缺损模型为研究对象,观察其金丝桃水提物对伤口愈合的疗效给出了直观的认识,如图1所示,伤口愈合率和伤口愈合时间是反映皮肤伤口愈合速度快慢的最直观证据,与对照组比较,HAE、云南白药(YNBY)两组皮肤创面愈合时间缩短,创面愈合率增高,提示HAE可促进新西兰兔皮肤创面愈合速度。

图1 兔皮肤伤口不同时间恢复情况
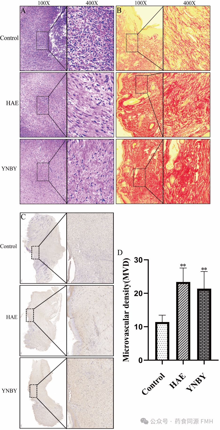
组织病理检测:分子机制的微观证据
伤口的愈合一般可分为凝血期、炎症期、修复期、成熟期。炎症阶段是创面愈合的前期阶段,当皮肤受损,大量的炎症细胞被激活,导致炎性细胞因子不受控制地释放,从而导致创面炎症。在创面处理过程中,减少炎症对于防止组织损伤和纤维化非常重要。创面损伤亦与血管流失有关,血管流失可导致创面缺氧及活性氧积聚,引起氧化应激反应,增加蛋白酶含量,引致创面血管新生不足及肉芽组织形成不足。创面血管生成在创面愈合和组织再生中起关键作用。它是组织修复生长的物质基础。血管生成包括内皮细胞和血管平滑肌细胞的增殖、迁移和分化,促进血液流动和毛细血管网络的形成,以及通过促进血管内皮细胞的增殖和迁移来加速新血管的形成,从而加快创面愈合的速度。本研究中H&E染色和CD34免疫组化结果如图2所示,与对照组比较,HAE可减少创面处炎症反应,加速肉芽组织生长与新生血管形成,从而促进创面愈合。

图2 各组伤口肉芽组织病理学观察
网络药理学:从 “成分-靶点-通路” 解析作用网络
LC-MS从HAE中鉴定出23种活性成分,包括芦丁、奎宁酸、山奈酚、儿茶素等(图3、表1)。利用网络药理学来预测HAE促进伤口愈合的分子机制,构建了HAE与皮肤创面愈合的成分-靶点-疾病通路网络,如图4结果表明,HAE刺激皮肤伤口愈合的机制是由多靶点复杂通路联合调控的,进一步使用GO和KEGG数据库评估生物过程和信号通路,发现HAE可通过调节血管生成、胶原生物合成和其他与伤口愈合有关的生物过程,此外,筛选出多种信号通路,如PI3K/Akt信号通路、MAPK信号通路等。由于实验条件限制,重点验证了PI3K/Akt通路。PI3K及其下游靶标Akt在许多细胞功能中起着核心作用,例如细胞增殖,细胞转化,旁分泌功能和血管生成等。

图3总离子色谱图
表1 金丝桃水提物化学成分鉴定


分子机制验证:PI3K/Akt 通路的双向调控
在给药21天后取伤口组织检测了PI3K、Akt和p-PI3K、p-Akt的表达水平,结果如图5所示,发现给药后这四种蛋白表达均下调,结合前面创面愈合大体观察结果,说明对照组创面可能处于愈合阶段的炎症期或修复期,而给药两组已进入成熟期,所以PI3K、Akt和p-PI3K、p-Akt蛋白表达下调,说明HAE可以通过调节PI3K/Akt信号通路促进伤口愈合。VEGF作为细胞生长的重要生物因子,在受损伤组织中发挥重要作用。有研究证实,VEGF促进血管内皮细胞分裂与增殖,为血管内皮的迁移及血管形成提供物质基础,通过血管生成刺激创面愈合,促进胶原沉积和上皮形成,免疫组化检测显示,VEGF表达给药后上调,提示其高表达可帮助恢复创面的血管形成,促进创面的愈合。

图5 金丝桃水提物对伤口组织蛋白表达水平的影响
Conclusion
金丝桃水提物能加快伤口愈合速度、提高伤口愈合率。组织学分析表明,HAE组肉芽组织结构完整、炎症细胞减少,胶原纤维排列有序且微血管密度较对照组增加。网络药理学预测显示出VEGFA、PI3KR1等15个核心靶点通过调控PI3K/Akt等信号通路协同促进创面修复,进一步验证表明HAE显著下调创面组织PI3K、p-PI3K、Akt、p-Akt蛋白表达,同时上调血管生成关键因子VEGF的表达。
作者简介
第一作者

熊琴琴,女,土家族,贵州医科大学药学硕士,研究方向为药学。发表SCI论文5篇,中文核心文章1篇;申请专利15项,其中已授权2项,其余均已受理;参加贵州省生物化学2023年度学术论坛暨贵州省生物化学与分子生物学会学术年会、FFC2024国际功能性食品大会等学术会议。
通信作者

骆衡,男,汉族,1985年7月出生,博士,研究员,硕士、博士生导师,哈佛大学医学院访问学者、博士后,药用植物功效与利用国家重点实验室中心主任助理,贵州省省级科技特派余庆团团长。研究方向为分子病理学与药理学。先后主持国家自然科学基金、中国博士后基金特别资助项目、贵州省科技重大专项、北京市博士后基金、贵州省自然科学基金重点项目、贵州省科技支撑计划等项目18项及横向合作项目25项;共发表学术论文130余篇,其中以第一作者和通讯作者发表学术论文100余篇,中科院1区SCI论文区26篇,2区SCI 论文28篇;出版专著8部,其中主编5部;申请专利62项、授权35项;团队现有科研助理6人,硕士研究生45人、博士研究生15人、博士后6人。获得贵州省自然科学奖二等奖1项、三等奖1项、贵州省药学科学技术奖一等奖1项、第十六届贵州省青年科技奖、贵州省优秀科技特派员、贵州优秀抗疫自愿者、贵州省优秀共产党员,入选中国科学院“西部青年学者”培养计划、中组部“西部之光”访问学者计划、贵州省“百”层次、“千”层次创新型人才培养计划、遵义市科技创新团队负责人。
原文链接:https://doi.org/10.26599/FMH.2026.9420125

请扫码关注我们