
Introduction
紫贻贝(Mytilus edulis),又称海虹或淡菜,属于软体动物门、双壳纲、贻贝目、贻贝科,广泛分布于全球多个沿海水域,包括北大西洋、地中海、西太平洋及东太平洋等区域。中国拥有漫长的海岸线,为紫贻贝的养殖与捕捞提供了极为优越的自然条件,目前已成为全球最大的紫贻贝生产国。紫贻贝富含蛋白质、碳水化合物和多种矿物质,并含有多类对人体健康有益的脂肪酸,营养价值较高。根据中国医学古籍记载,紫贻贝经煎煮后制成的汤药,具有增强人体免疫力的功效,传统上常用于治疗肝肾功能不足、阳痿及不育等症。
研究表明,贻贝富含对健康有益且营养价值高的n-3多不饱和脂肪酸(n-3 PUFAs),如二十碳五烯酸(EPA,C20:5n-3)和二十二碳六烯酸(DHA,C22:6n-3),这些脂肪酸的含量受摄入微藻的种类和生长地点的影响。研究表明,贻贝的脂质提取物具有良好的抗炎、降血压、调节血糖、降低血脂等功效。贻贝大多为雌雄异体,在非繁殖季节没有显著差异,但在繁殖季节,由于生殖腺的不同,雌性呈现橙色或黄色,而雄性则呈现乳白色。然而目前尚无关于雄性和雌性贻贝的脂质组成和脂肪酸谱的比较信息。
中国海洋大学张恬恬副教授团队于繁殖季节的三月份自胶州湾沿岸采集紫贻贝样本。采用薄层色谱(TLC)与气相色谱(GC)技术,对雄性和雌性紫贻贝的总脂质组成及脂肪酸谱进行了系统分析,并进一步对游离脂肪酸(FFA)、甘油三酯(TG)和磷脂(PL)的脂肪酸构成进行了比较研究。该研究结果有助于深入理解贻贝脂质提取物的健康益处,并为将贻贝油开发为新型海洋功能性脂质资源提供了科学依据。
Results and Discussion
雌、雄紫贻贝脂质的脂肪酸组成
雄性紫贻贝中EPA与DHA的相对含量分别为24.09%和17.21%,而雌性个体中这两种脂肪酸的含量较低,分别为22.83%和13.56%。在总脂肪酸组成方面,紫贻贝以多不饱和脂肪酸(PUFA,40.76%~45.77%)为主要成分,其次为饱和脂肪酸(SFA,27.91%~30.19%)和单不饱和脂肪酸(MUFA,15.07%~17.25%)。此外,雌性紫贻贝的脂肪酸绝对含量高于雄性,这一差异可能与雌性个体在繁殖期间需要更多脂肪酸等营养物质以支持性腺发育有关。
表1 雌、雄紫贻贝总脂质中脂肪酸组成

雌、雄紫贻贝的脂质组成
雄性紫贻贝的总脂质中甘油三酯(TG)含量为662.85mg/g,雌性为613.17 mg/g,雄性较雌性高8.10%。游离脂肪酸(FFA)在雄性中含量为39.09 mg/g,雌性为43.71 mg/g,雌性显著高于雄性11.82%。磷脂(PL)在雄性中含量为462.93 mg/g,雌性为421.84 mg/g,雄性比雌性高9.74%。T检验结果表明,雄性与雌性紫贻贝在甘油三酯、游离脂肪酸及磷脂含量方面均无统计学显著差异。
值得关注的是,磷脂是紫贻贝总脂质的主要组成部分,在雄性和雌性中分别占总脂质的46.3%与42.2%,该比例略高于常见磷虾油中的磷脂含量。作为一类广泛存在的两亲性功能脂质,磷脂在生物膜构建和信号通路调节中具有关键作用。已有大量研究指出,磷脂对大脑功能、脂质代谢、抗炎及抗肿瘤等多个生理过程均表现出积极影响。
表2 雄性和雌性紫贻贝的各脂质成分(mg/g总脂质)

雌、雄紫贻贝甘油三酯、游离脂肪酸、磷脂的脂肪酸组成
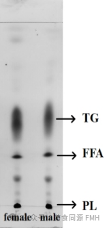
采用薄层色谱法(TLC)对雄性与雌性紫贻贝的总脂样品进行分离。根据不同脂质组分的极性差异,其在薄层板上的迁移距离亦不相同,最终在色谱板上形成清晰的条带,自上而下依次为甘油三酯(TG)、游离脂肪酸(FFA)和磷脂(PL)。

图1 紫贻贝总脂的薄层色谱(TLC)分析图
通过对雄性与雌性紫贻贝的甘油三酯、游离脂肪酸及磷脂进行气相色谱分析,结果显示:饱和脂肪酸(SFA)主要存在于TG和PL中,单不饱和脂肪酸(MUFA)以TG为主要存在形式,而多不饱和脂肪酸(PUFA)则主要分布于PL中。特别值得注意的是,EPA与DHA在磷脂中的含量最高,两者总计占比达30.58%~33.21%。此外,FFA形态的各类脂肪酸含量普遍较低,这与游离脂肪酸在总脂质中所占比例较小是一致的。
雌、雄紫贻贝磷脂各组分的脂肪酸组成
根据不同磷脂的极性头部结构差异,可将其分为磷脂酰胆碱(PC)、磷脂酰乙醇胺(PE)和磷脂酰丝氨酸(PS)等类别。TLC分析结果显示,紫贻贝磷脂中主要分子种类为PE与PS。通过进一步分析发现,EPA和DHA主要存在于PE中,其次分布于PS中。

图2 紫贻贝磷脂的TLC分析图
Conclusion
本研究对中国胶州湾沿岸雄性及雌性紫贻贝的脂质组成与脂肪酸谱进行了系统分析。结果表明,紫贻贝富含对人体健康至关重要的EPA和DHA,总含量在37.07%~42.04%之间,且雄性个体中的含量略高于雌性。进一步分析显示,紫贻贝油中磷脂与甘油三酯含量较高,而游离脂肪酸含量较低。在磷脂分子种类方面,磷脂酰乙醇胺(PE)和磷脂酰丝氨酸(PS)为主要成分,磷脂酰胆碱(PC)占比相对较低。尤为重要的是,研究发现紫贻贝是一种理想的海洋脂质来源,其n-3多不饱和脂肪酸(n-3 PUFAs)在磷脂中的含量显著高于在甘油三酯中的含量。本研究为评估紫贻贝油的营养价值和推动贻贝基功能性食品的开发提供了重要的科学依据。
作者简介
第一作者

张敏锐,女,中国海洋大学食品科学与工程学院2022级食品科学与工程专业本科生,主要研究方向为海洋食品脂质营养成分、功能性食品开发。

宁一霏,女,中国海洋大学工学硕士,主要研究方向为海洋食品特征性结构脂质防治慢性疾病的构效关系及分子机制;海洋营养健康食品研究与开发。
通讯作者

张恬恬,博士,副教授,硕导,兼任山东省高校青创团队负责人(海陆结合新型食品研发创新团队),山东省营养学会理事、山东营养学会特殊食品专业委员会常务委员、Journal of Future Foods编委、Food Science and Human Wellness青年编委、Food & Medicine Homology青年编委。主要从事新型海洋食品功能性脂质的营养健康功效研究与功能性食品开发。近年来,承担包括国家自然科学基金、国家重点研发子课题、山东省自然科学基金等项目10余项,在食品领域国内外高水平杂志发表论文80余篇,副主编“十四五”规划教材1部,主编专著2部,授权国家发明专利17项。
原文链接:https://doi.org/10.26599/FMH.2026.9420124

请扫码关注我们